
MIP and MinIP: Two "Magic" Modes Every CT Reader Should Know
3/8/2026

X-Ray Wavelength and Frequency: Understanding the Basics
2/16/2026

How Much Radiation Is in an X-Ray?
2/16/2026

Can an X-Ray Show Cancer in the Bones?
2/16/2026

Full Body X-Ray: Benefits and What to Expect
2/16/2026

X-Ray Types of Fractures: Complete, Hairline, Stress, and Compound Explained
2/11/2026

X-Ray of the Wrist: Diagnosing Injuries, Pain Causes, and Bone Damage
2/11/2026

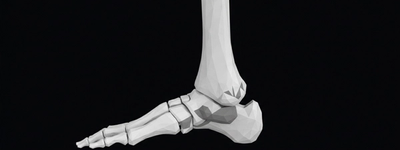
X-Ray of the Ankle: How It Identifies Sprains, Fractures, and Joint Issues
2/11/2026

X-Ray of the Hand: Detecting Fractures, Arthritis, and Bone Abnormalities
2/11/2026

X-Ray of Baby Teeth: What It Shows, When It’s Needed, and Safety Tips
2/11/2026

X-Ray of the Foot: Common Uses, Conditions Diagnosed, and What to Expect
2/11/2026

Shoulder X-Ray: Anatomy, Procedure & What to Expect
2/11/2026